出っ歯(成長期・自費治療・クリアタイプブラケット)
11歳 女性
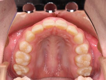
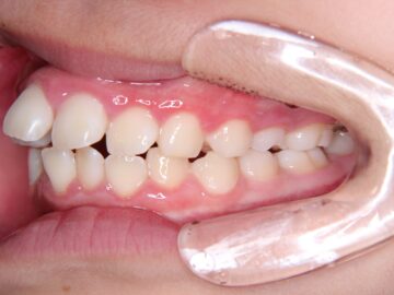
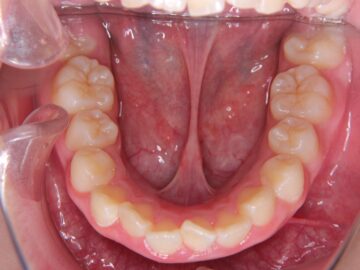
ご相談時
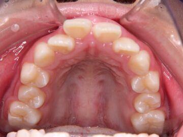
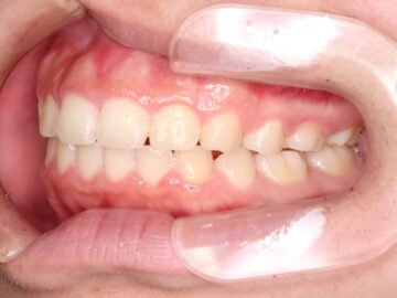
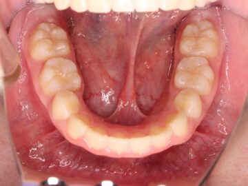
治療後
お悩み
出っ歯で咬み合わせが悪く、食事に時間がかかる。
医師のご提案
上下顎にブラケットを装着し、夜寝るときにヘッドギア装着を勧めた。
成長期の治療は成人と比べると期間は短く、ヘッドギアを十分な時間装着すれば上顎前歯を綺麗に後退させることができる。
治療の詳細
| 抜歯部位 | 上顎左右測第一小臼歯、下顎左右測第二小臼歯 |
|---|---|
| 治療期間 |
動的治療期間 2年1か月、保定治療期間 3年3か月 |
| 治療のリスク | ヘッドギアの装着時間が不十分な場合、上顎前突の改善が望めない。 |
| 費用 |
合計999,900円:消費税10%込(税抜909,000円) 内訳(税込):精密検査診断料77,000円、初回オーラルケア16,500円、矯正料572,000円(クリアタイプブラケット)、定期検査料22,000円、調節料6,600円×25回、観察料3,300円×8回、保定処置料110,000円、リテーナー料11,000円 |
