受け口(寝ている時の取り外し式矯正装置・自費治療・乳歯列)
4歳 女性
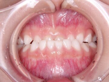
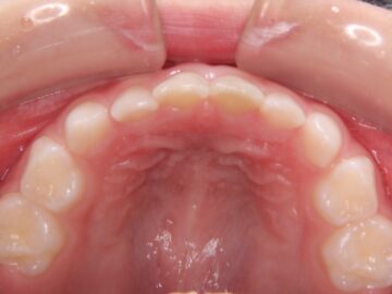
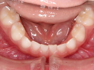
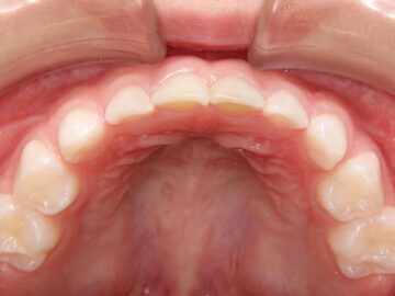
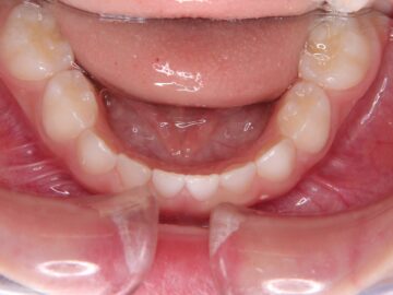
ご相談時
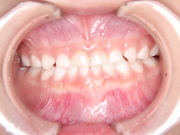
治療後
お悩み
前歯が反対に咬みあっている。
医師のご提案
今後の体の成長のためにも咬み合わせの治療を勧めました。
まだ永久歯は生えていませんが、取り外し式の矯正装置を寝る時だけ毎日装着してもらえれば6か月程度で治ります。
治療の詳細
| 抜歯部位 |
なし |
|---|---|
| 治療期間 | 動的治療期間 6か月 |
| 治療のリスク |
様々な要因により、取り外し式矯正装置で治るのはおよそ50%です。 6か月装着しても治らない場合は、前歯が永久歯に生え変わった後に第1期治療が必要です。 |
| 費用 |
合計132,000円:消費税10%込(税抜120,000円) 内訳(税込):精密検査診断料77,000円、矯正料44,000円(取り外し式1個)、観察料2,200円×5回 |
