すきっ歯(舌癖がある場合・自費治療・クリアタイプブラケット)
12歳 男性
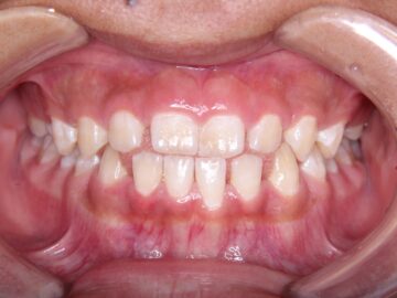
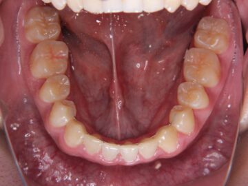
ご相談時
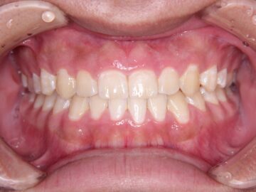
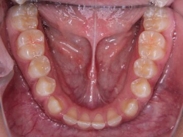
治療後
お悩み
前歯に隙間がある。
医師のご提案
習慣的に前歯を舌で押しているため、矯正装置装着前に、口腔周囲筋機能訓練が必要です。
舌癖が改善されたら上下顎にブラケットを装着して治療が可能です。
治療の詳細
| 抜歯部位 | なし |
|---|---|
| 治療期間 |
動的治療期間 2年8か月、保定治療期間 2年4か月 舌癖改善に期間を要した |
| 治療のリスク | 舌癖が改善しないと治療が遅延したり、前歯の歯根吸収がおこる。 |
| 費用 |
合計1,014,200円:消費税10%込(税抜922,000円) 内訳(税込):精密検査診断料77,000円、初回オーラルケア16,500円、口腔周囲筋機能訓練料3,300円×4回、矯正料572,000円(クリアタイプブラケット)、調節料6,600円×29回、観察料3,300円×8回、保定処置料110,000円、リテーナー料11,000円 |
