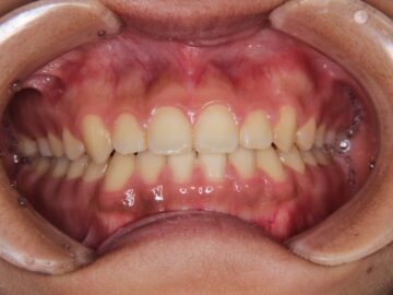
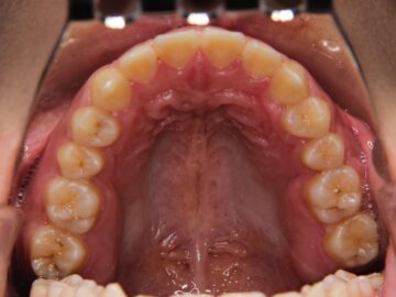
すきっ歯(舌癖がない場合・自費治療・クリアタイプブラケット)
16歳 女性
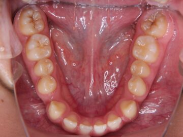
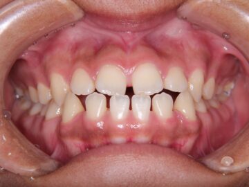
ご相談時
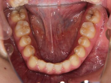
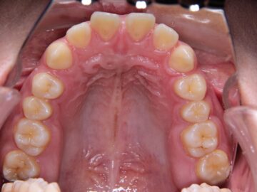
治療後
お悩み
前歯にすき間がある。
医師のご提案
上下顎全体にブラケットを装着し、隙間を閉じることを勧めた。
治療の詳細
| 抜歯部位 | なし |
|---|---|
| 治療期間 | 動的治療期間 2年3か月、保定治療期間 2年2か月 |
| 治療のリスク | 口腔内清掃が悪いとむし歯ができることもある。 |
| 費用 |
合計974,600円:消費税10%込(税抜886,000円) 内訳(税込):精密検査診断料77,000円、初回オーラルケア16,500円、矯正料572,000円(クリアタイプブラケット)、調節料6,600円×25回、観察料3,300円×7回、保定処置料110,000円、リテーナー料11,000円 |
