出っ歯(空隙歯列・自費治療・クリアタイプブラケット)
14歳 男性
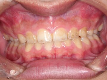
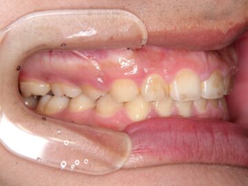
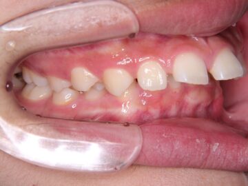
ご相談時
治療後
お悩み
出っ歯で隙間がある。
医師のご提案
上下顎にブラケットを装着、上顎にアンカースクリューを用いヘッドギアより確実に上顎前歯を後退させることを勧めた。
治療の詳細
| 抜歯部位 | 上顎左右測第一小臼歯 |
|---|---|
| 治療期間 |
動的治療期間 3年3か月、保定治療期間 1年6か月 保定治療継続中 |
| 治療のリスク | 遠方に居住のため定期的に通院できない場合は、治療が遅延する。 |
| 費用 |
合計985,600円:消費税10%込(税抜896,000円) 内訳(税込):精密検査診断料77,000円、初回オーラルケア16,500円、矯正料572,000円(クリアタイプブラケット)、アンカースクリュー料22,000円×2本、調節料6,600円×33回、保定処置料110,000円 |
