受け口(外科矯正・保険治療・メタルブラケット)
26歳 女性
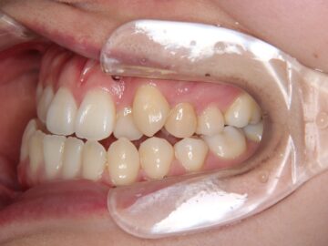
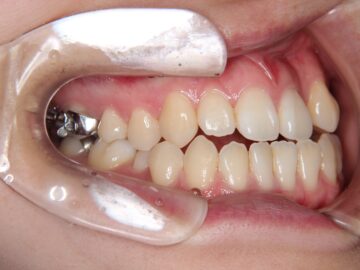
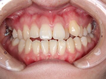
ご相談時
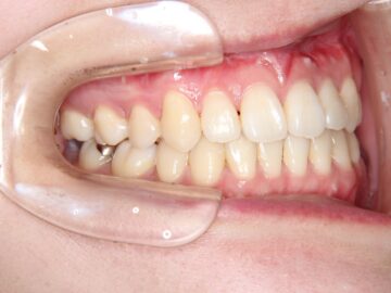
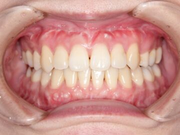
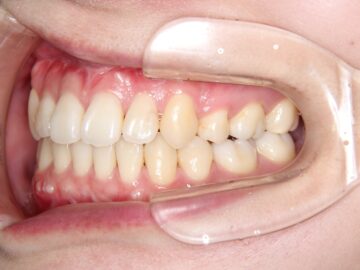
治療後
お悩み
受け口で八重歯がある。顎が大きい。
医師のご提案
矯正治療だけでは顎の大きさは変わらないので、外科的矯正治療を勧めました。
治療の詳細
| 抜歯部位 | 上顎左右測第一小臼歯、下顎左右測第二小臼歯 |
|---|---|
| 治療期間 |
動的治療期間 2年6か月、保定治療期間 1年6か月 保定治療継続中 |
| 治療のリスク |
手術後1-2週間程度入院が必要で、一時的に顎に知覚鈍麻が起きることもある。 |
| 費用 | 合計281,180円(医療保険3割負担額)、手術費用は別途 |
