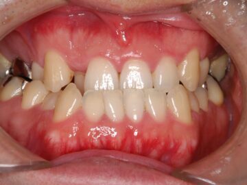
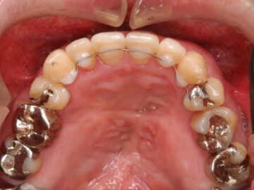
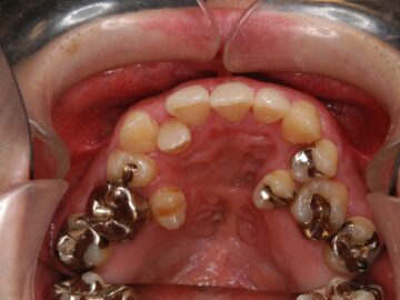
受け口(成人・自費治療・リンガルブラケット)
31歳 男性
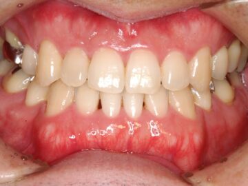
ご相談時
治療後
お悩み
受け口で見た目が悪い。上の歯が内側に入っている。目立たない治療がしたい。
医師のご提案
上下リンガルブラケットによる治療を勧めました。
治療の詳細
| 抜歯部位 | 上顎左右測第二小臼歯、下顎左右側第一小臼歯 |
|---|---|
| 治療期間 | 動的治療期間 3年1か月、保定治療期間 2年11か月 |
| 治療のリスク |
治療済みの歯が多く、カリエスリスクが高く、むし歯になりやすい。 成人男性は骨が硬く歯が動きにくい傾向がある。 |
| 費用 |
合計1,637,900円:消費税10%込(税抜1,489,000円) 内訳(税込):精密検査診断料77,000円、初回オーラルケア16,500円、矯正料770,000円(上下リンガルブラケット)、調節料16,500円×39回、観察料3,300円×6回、保定処置料110,000円、リテーナー料11,000円 |
