受け口(第一期治療・自費治療・小児・メタルブラケット)
11歳 女性
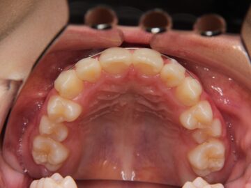
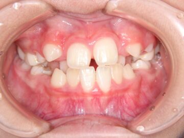
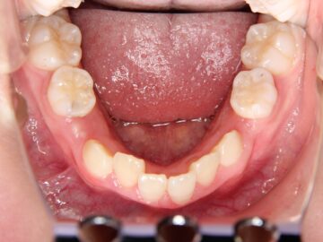
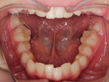
ご相談時
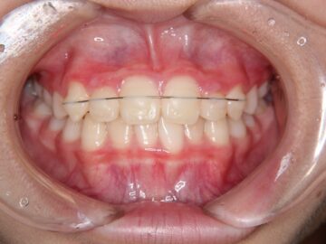
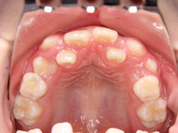
治療後
お悩み
下の前歯が出ている。上の2番目の前歯が引っ込んで、八重歯が出てきた。
医師のご提案
まだ乳歯が残っていますが、上顎の永久歯の歯並びを整えれば、受け口も叢生も治ります。
咬み合わせは全身の健康にも影響を与えるため早期の治療を勧めました。
治療の詳細
| 抜歯部位 | なし |
|---|---|
| 治療期間 |
動的治療期間 11か月、保定治療期間 1年2か月 |
| 治療のリスク | 口腔内清掃状態が悪いと、むし歯になってしまう。 |
| 費用 |
合計473,000円:消費税10%込(税抜430,000円) 内訳(税込):精密検査診断料77,000円、初回オーラルケア16,500円、矯正料275,000円、調節料6,600円×10回、観察料3,300円×5回、定期検査料22,000円 |
