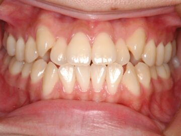
叢生(成人・自費治療・クリアタイプブラケット)
21歳 女性
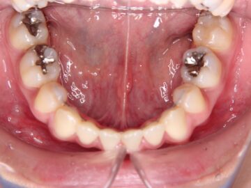
ご相談時
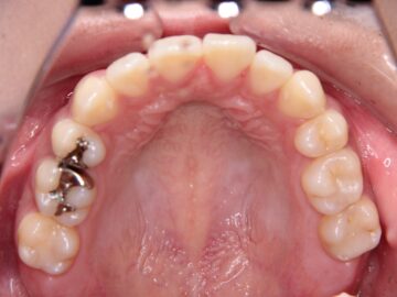
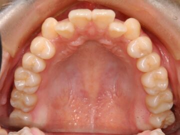
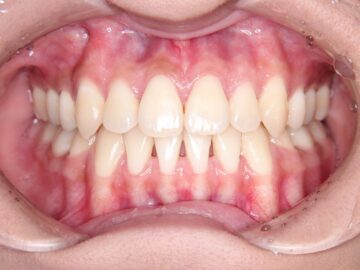
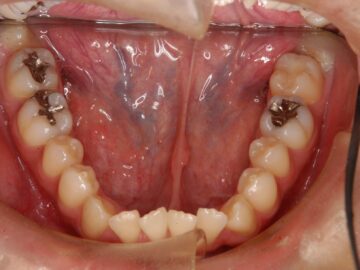
治療後
お悩み
歯並びが悪い
医師のご提案
歯ぐきが薄く口唇がわずかに突出しているため、小臼歯抜歯での治療を勧めた。
治療の詳細
| 抜歯部位 | 上顎左右測第一小臼歯、下顎左右測第一小臼歯 |
|---|---|
| 治療期間 |
動的治療期間 1年7か月、保定治療期間 1年10か月 |
| 治療のリスク | 歯肉退縮、ブラックトライアングルの出現 |
| 費用 |
合計925,100円:消費税10%込(税抜841,000円) 内訳(税込):精密検査診断料77,000円、初回オーラルケア16,500円、矯正料572,000円(クリアタイプブラケット)、調節料6,600円×18回、観察料3,300円×6回、保定処置料110,000円、リテーナー料11,000円 |
