叢生(1期+2期治療・自費治療・非抜歯・クリアタイプブラケット)
10歳 女性
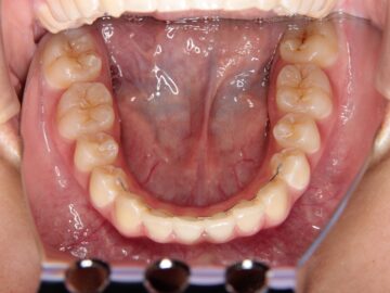
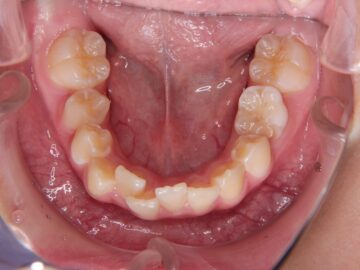
ご相談時
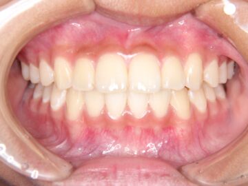
治療後
お悩み
八重歯・歯がガタガタしている
医師のご提案
まだ第二大臼歯が生えていない時期は特に骨や歯が柔軟に動くため、
ヘッドギアの十分な時間の装着により、上顎大臼歯を後ろに動かして歯を抜かないで治療することができます。
第一期治療で大臼歯の咬み合わせを整え、第二期治療で上下顎の歯にブラケットをつけて非抜歯治療を目指す。
治療の詳細
| 抜歯部位 | なし |
|---|---|
| 治療期間 |
動的治療期間 2年3か月、保定治療期間 3年0か月 第一期治療:7か月、第二期治療:1年8か月 |
| 治療のリスク | 第一期治療でヘッドギアの装着時間が不十分な時、第二期治療で小臼歯抜歯が必要になることがある。 |
| 費用 |
合計1,05,2700円:消費税10%込(税抜957,000円) =第一期治療398,200円(税抜362,000円)+第二期治療654,500円(税抜595,000円) 内訳(税込):精密検査診断料77,000円、初回オーラルケア16,500円、第一期矯正料275,000円、第二期矯正料352,000円(クリアタイプブラケット)、調節料6,600円×23回、観察料3,300円×9回、保定処置料110,000円、リテーナー料11,000円 |
