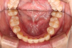
叢生
24歳 女性
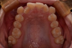
ご相談時
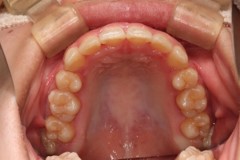
治療後
お悩み
前歯のがたつきと口元の突出感が気になる
医師のご提案
上下顎第一小臼歯の抜去後、カスタムメイド型アライナーによる治療をすすめました。
顎間ゴムとアンカースクリューの併用を必須としました。IPRの可能性についても提案しました。
治療の詳細
| 抜歯部位 | 上下顎両側第一小臼歯 |
|---|---|
| 治療期間 | 3年1か月 |
| 治療のリスク |
ブラックトライアングル 短根 歯髄炎による変色および失活 歯根露出 ※カスタムメイド型アライナーを毎日22時間以上装着を指示 ※顎間ゴムの使用 |
| 費用 |
合計1,130,250円(税込):消費税10%(税抜き 1,047,500円) 内訳(税込):精密検査料77,000円、マウスピースシュミレーション料55,000円、初回オーラルケア料14,300円、矯正料737,000円(マウスピース矯正)、調節料7,150円×13回、アンカースクリュー料44,000円、保定処置料110,000円 ※治療途中、歯の移動が困難な場合は、部分的にブラケット矯正を併用する場合があります。 |
