開咬(顎位不安定・自費治療・クリアタイプブラケット)
16歳 男性
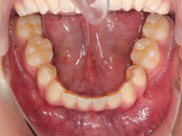
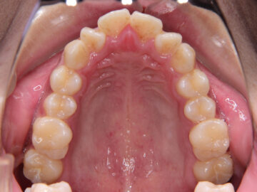
ご相談時
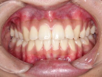
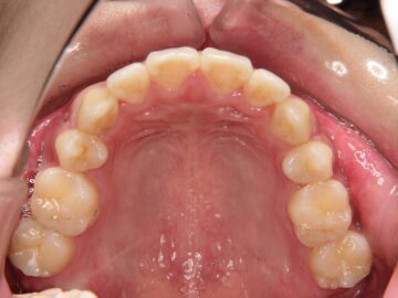
治療後
お悩み
小学生の頃は上下の前歯が当たっていたのに、今は上下の前歯が咬みあわない。
医師のご提案
開咬(咬み合わせ合わせが開いている状態)は、一番治しにくい不正咬合です。まず、不安定な顎の位置を改善するためにスプリント療法を行った方がいいと考えました。開咬量も大きいので、当院で行っているアンカースクリューではなく、プレートタイプのアンカーを口腔外科でつけてもらって治療することを勧めました。口腔周囲筋機能訓練も重要です。
治療の詳細
| 抜歯部位 | 上顎左右測第一小臼歯、下顎左右測第二小臼歯 |
|---|---|
| 治療期間 |
動的治療期間 3年3か月、保定治療期間 1年7か月 保定治療継続中 |
| 治療のリスク |
顎位が不安定なまま矯正治療を開始すると、治療期間が延長する。 また、口腔内清掃をきちんと行わないと、アンカースクリュー周囲炎となり、治療期間が延長する。 |
| 費用 |
合計1,064,000円:消費税10%込(税抜1,170,400円) 内訳(税込):精密検査診断料77,000円、スプリント療法料66,000円、スプリント調節料3,300円×6回、初回オーラルケア16,500円、矯正料572,000円(クリアタイプブラケット)、調節料6,600円×41回、観察料3,300円×5回、定期検査料22,000円、保定処置料110,000円 |
